Loading...
<
>
圖片索引選單
回首頁
回上頁
相片平均分數0分
共53人投票
回首頁
回上頁
影像說明
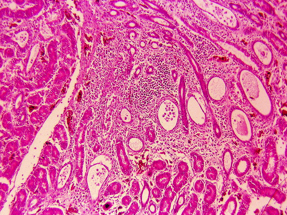
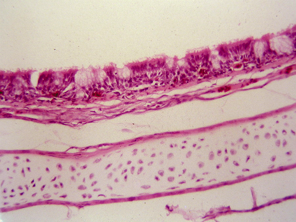
疾病中文名稱:傳染性支氣管炎
疾病英文名稱:Avian Infectious Bronchitis
作者:蔡信雄教授
拍攝地點:
拍攝時間:
參考來源:
影像說明:本病病毒屬於冠狀病毒科(Coronaviridae)第三群
社群分享
疾病整合
診斷輔助:
禽病診斷輔助系統
疾病參考連結: