Loading...
<
>
圖片索引選單
回首頁
回上頁
相片平均分數0分
共0人投票
回首頁
回上頁
影像說明
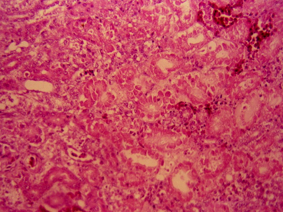
疾病中文名稱:鵝出血性腎炎與腸炎
疾病英文名稱:Hemorrhagic Nephritis Enteritis of Geese
作者:蔡信雄教授
拍攝地點:
拍攝時間:
參考來源:
影像說明:
社群分享
疾病整合
診斷輔助:
禽病診斷輔助系統
疾病參考連結: